Accueil
Cabinet
Urgences
Vidéos
Omnipratique
Implants dentaires
Prothèses dentaires
Soins, hygiène et pathologies
TRAITEMENT DES GENCIVES
Fiches Conseils
Espace privatif
Questionnaire pré-RDV
Prendre RDV
Contact
Langue
Anglais
Allemand
Espagnol
Chinois
cliniqueimplantaire.com
Implantologie, parodontologie et chirurgie buccale
Appeler
Localisation
cliniqueimplantaire.com
61 avenue du Géneral Leclerc
94700
MAISONS ALFORT
Implantologie, parodontologie et chirurgie buccale
+33143962927
Accueil
Cabinet
Urgences
Vidéos
Omnipratique
Implants dentaires
Prothèses dentaires
Soins, hygiène et pathologies
TRAITEMENT DES GENCIVES
Fiches Conseils
Espace privatif
Questionnaire pré-RDV
Prendre RDV
Contact
Langue
Anglais
Allemand
Espagnol
Chinois
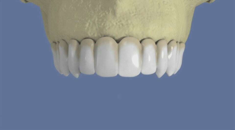
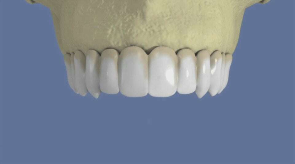
Maxillaire : bridge vissé sans fausse gencive
Vidéos 3D
Partager
Twitter
Partager
Partager
Envoyer
Copier
cliniqueimplantaire.com
61 avenue du Géneral Leclerc
94700
MAISONS ALFORT
+33143962927
Politique de confidentialité et charte cookie
Mentions légales
Conditions Générales Utilisation
Charte déontologique
Ordre national
Annuaires chirurgiens dentistes
Hygiène & Asepsie
Honoraires & Remboursement
Diaporama
Création par
Connexion